Pathology
P ulmonary
Aliya N. Husain, M.D.
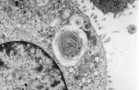
Electron micrograph of type II pneumocyte with nucleus in upper right corner and lamellar body (surfactant) in middle.