Pathology
P ulmonary
Aliya N. Husain, M.D.
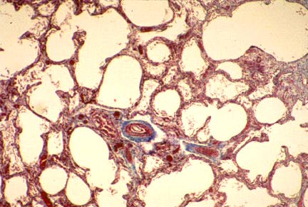
Post-surfactant BPD with less fibrosis and arrest in lung development resulting in fewer though larger alveoli.