Pathology
P ulmonary
Aliya N. Husain, M.D.
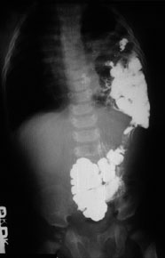
X-ray of patient with left-congenital diaphragmatic hernia (CDH), after barium meal.