Pathology
P ulmonary
Aliya N. Husain, M.D.
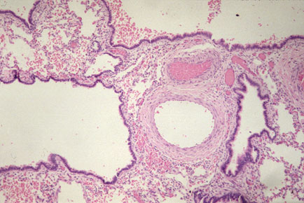
Microscopic picture of CCAM, type II, with cysts lived by ciliated epithelium.