Pathology
P ulmonary
Aliya N. Husain, M.D.
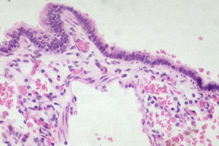
High power of fig. 23, showing living epithelium of cyst in CCAM, type II.