Pathology
P ulmonary
Aliya N. Husain, M.D.
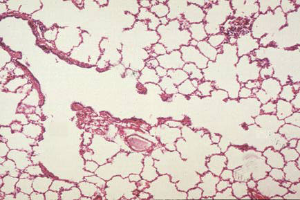
Microscopic section of normal lung showing terminal bronchiole, respiratory bronchiole, alveolar duct, alveolar sac, and alveoli.