Slide 1

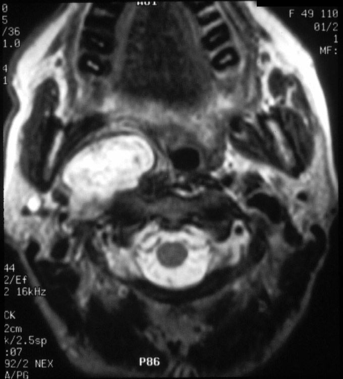
Axial MRI illustrates a right parapharyngeal space lesion.

Next