Slide 63

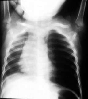
Expiratory film showing left air trapping consistent with a left bronchial foreign body.

Next

Previous