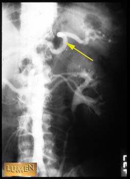
Question: Identify.
Answer
Splenic artery.