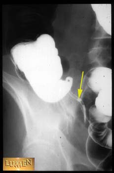
Question: Identify.
Answer
Appendix.