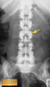
Identify the structure indicated by the arrow.
Answer
Superior articular process.