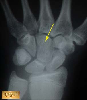
17. Identify Bone.
Answer
Capitate.