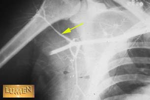
35. Identify.
Answer
Posterior humeral circumflex a.