Loyola University Medical Education Network Part 2: Stains, Cells, and Ultrastructure (EM)

Slide 41

Hematoxvlin and eosin (H&E) is the most common laboratory stain. Hematoxylin is a blue/purple dye; eosin is red. Nuclear chromatin has a high nudeic acid content and therefore is attracted to the blue, more basic dye (i.e., it is basophilic). Everything else in this picture is relatively neutral in character and takes a wash of eosin.

Slide 42

In a low power view of intestinal wall, rows of epithelial nuclei impart a darker, bluer color to linings of surfaces and glands, as seen to the right of center. The outer, left-hand layers show the pink of muscle cytoplasm. The middle layer of dense, irregular connective tissue shows how brightly collagen fibers can be stained with eosin.

Slide 43

High power of smooth muscle to show that eosinophilic color is mainly due to cytoplasm. Nuclei are quite scattered and have only small, granular clumps of blue heterchromatin. Nucleoli (one or two per nucleus) are stained blue with hematoxylin.

Slide 44

Intestinal wall stained with Mallory's trichrome stain, which specifically colors collagen fibers blue. With this stain the connective tissue layer is clearly distinguished from muscle below and epithelium above, both of which take the pink/purple stain of cytoplasm.

Slide 45

Detail of a group of epithelial cells containing bright red (eosinophilic) secretory granules. Nuclei are dark with hematoxylin.

Slide 46

This organ, the thymus, appears very basophilic in H&E.

Slide 47

At high power, the reason for the basophilia is clear: the thymus is packed with lymphocytes with darkly stained nuclei. Isolated structures such as the whorl of cells in the center, are specifically acidophilic (eosinophilic).

Slide 48

Here are some nerve cells, seen in low power. Their nuclei are pale and vesicular, containing mainly unstained euchromatin. The nucleolus is dark, however, and the cvtoplasm is filled with clumps of darkly stained, basophilic material, implying a content of ribonucleic acid.

Slide 49

Cells take diverse shapes. These are epithelial cords of block-like cells. As always, nucleoli and nuclear heterochromatin stain darkly with hematoxylin.

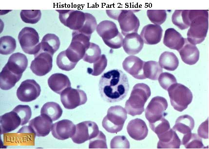
Slide 50

Blood cells are suspended in fluid plasma and therefore are characteristically round in shape.

Slide 51

Muscle cells are arranged parallel to their direction of contraction and adopt a fusiform or spindle shape. Nuclei are sparse in relation to large amounts of cytoplasm.

Slide 52

In low power, individual muscle cell groups are found to be running in different directions, so that some are cut cross-wise (or transversely) and some are cut lengthwise (longitudinally). Some, of course, are running obliquely and therefore are cut tangentially in relation to their full length.

Slide 53

Nerve cells are typically stellate in shape, with several cytoplasmic extensions or processes. Here again, notice that the cytoplasm of these cells contains dark, basophilic material. In EM, this material will turn out to be abundant rough endoplasmic reticulum, which is associated with protein production. Before leaving this slide, note the many tiny nuclei in the field, in between the two nerve cells. Their size is about equal to the nucleolus of a nerve cell!

Slide 54

Another type of nerve cell, to show again its huge size in relation to the ordinary connective tissue cells around it. Once again, the nucleolus of the nerve cell (lying in the rather small, pink nucleus) is about equal in size to the nuclei of other cells. Look just below the nerve cell (at about the 5:30 position on a clock face) for a small capillary containing a single, quite pink erythrocyte. Figuring that the r.b.c. is about 7.5 microns in diameter, you can estimate the size of the neuron!

Slide 55

Silver staining is useful for a variety of purposes. Here it is used to blacken the reticular fiber network of reticular tissue.

Slide 56

Here silver has been deposited on nerve cells and their delicate processes in the brain.

Slide 57

In this instance, silver has been deposited on the intercellular substance between epithelial cells. You will notice that silver seems particularly useful for viewing very thin, fine structures which become visible when impregnated with grains of silver. Incidentally, this particular view is of the surface of mesothelium (simple squamous epithelium lining body cavities and mesentery).

Slide 58

Now a whole-mount of a small blood vessel has been stained with silver. The thin black vertical lines are reticular fibers running around the outside of the vessel like barrel hoops. The irregular horizontal lines, running parallel to the length of the vessel are the silvered outlines of endothelial cells. The intercellular cement has been stained black, making this surface view of the endothelium look like the pieces of a puzzle interlocked together. Cell nuclei are not visible.

Slide 59

EM of a "typical" cell (hepatocyte), showing the organelles common to almost all cells of the body. Notice rod-like mitochondria (M), stacked rough endoplasmic reticulum, and electron-dense lysosomes. The small dots encrusting the rough ER are ribosomes; compare their size with the particles of glycogen, shown as black, irregular clusters. Notice also that the nucleus (N) contains very little heterochromatin, and seeming gaps along the nuclear envelope where the nuclear pores are found (We'll get back to other features of this cell when we study the liver.) B=bile canniculus; HS=hepatic sinusoid; SD=space of Disse.

Slide 60

Transmission electron micrograph of nucleus similar to the one in the previous figure. The nucleolus (3) shows an internal structure. The chromatin is predominately euchromatin with heterochromatin which is typically located close to the nuclear envelope and is discontinuous at the nuclear pores. Mitochondria (2) are seen in the surrounding cytoplasm.

Slide 61

Detailed EM of nucleolar structure, showing fibrillar (1), granular (2), and amorphous (3) portions.

Slide 61a

A lymphocyte in late prophase. The nuclear envelope has begun to disappear and is evident in only a few places. (Arrow) CG = Chromatin granules. M = Mitochondria Rer = Rough endoplasmic reticulum.

Slide 61b

A lymphocyte in metaphase with the chromosomes lined up on the equatorial plate. The plane of section does not include the spindle fibers. 1 = Endoplasmic reticulum. 2 = Mitochondria.

Slide 62

EM of the nuclear envelope. Dense chomatin material (heterochromatin) (1) is distributed along the nuclear envelope except in the region of the nuclear pores (2). 3=euchromatin; 4=smooth endoplasmic reticulum; 5=Golgi body.

Slide 62a

Higher magnification micrograph with nucleus to the left and cytoplasm to the right. A pore in the nuclear envelope is marked by the arrow. Notice the absence of heterochromatin at the site of the pore. N = Nucleus.

Slide 62b

EM of an oocyte with its nucleus (5) at the bottom of the micrograph. The nuclear envelope is sectioned tangentially so that nuclear pores are clearly visible (arrows). 1 = Crystalline bodies or plaques (typical of oocyte cytoplasm); 2 = Mitochondria; 3 = Multi vesicular body; 4 = Cortical granules (typical of oocyte); 5 = Nucleus.

Slide 63

EM showing the two dense and one pale (or lucent) layers of the ordinary cell (or plasma) membrane.

Slide 64

A similar membrane coated with a fuzzy-looking external glycocalvx (arrow). GA=Golgi apparatus.

Slide 65

Electron micrograph of the basal lamina. The portion of the basal lamina referred to as the lamina densa (1) is a thin gray line lying just outside the cell membrane. Reticular fibers (2) are associated with the lamina densa. Notice here that the basal lamina surrounds an epithelial cell. Two odd points to remember: (1) lymphatic capillaries have no basal lamina surrounding their endothelium, and (2) fat cells do have a basal lamina, which is surprising because these are connective tissue cells and shouldn't seem to need a protective layer between themselves and the surrounding connective tissue ground substance. The true origin of fat cells is open to question.

Slide 66

Diagram of a block-like cell showing the extent of various kinds of cell junctions. A macula is a simple "spot weld". A zonula forms a complete belt of adhesion around the cell. A fascia is a broad, irregular area of adhesion. Notice that the apical surface of the cell has several small cytoplasmic protrusions. They are like microvilli stucturally but are not numerous enough to form a striated or brush border. Such small protrusions are common on cells.

Slide 67

Scanning EM view looking down on the apical surface of a whole sheet of epithelial cells. The long, wavy projections are cilia: the close-cropped ones are microvilli of a brush border.

Slide 68

High power EM of microvilli of a brush border. Notice that they are simple extensions of the apical cytoplasm, with unit membrane continuing over their surface. Very fine actin filaments extend into the microvilli and are rooted in the main mass of cytoplasm below. Angling down the bottom half of the picture is the line of contact between two adjacent cells, each with its own unit membrane. At three points along the way there are specialized junctions: (1) zonula occludens or tight junctions, (2) zonula adherens or intermediate junction, and (3) desmosome or macula adherens. Cytoplasmic filaments (arrow) are attached to the desmosome, contributing to its density.

Slide 69

Lower magnification EM of junctional complexes between epithelial cells. The tonofilaments heading into the desmosomes (5) are particularly prominent. The continuous bands of zonula occludens (3) and zonula adherens (4) are seen near the top. Note the width of the intercellular space along its normal length and at the points of various kinds of contacts. 1=microvilli; 2=terminal web.

Slide 70

EM detail of several desmosomes, showing the attachment of many tonofilaments. Arrows point to the density which typically appears in the intercellular space. The cell membranes of the two neighboring cells are interlocked in a very complex interdigitation here. You can follow the undulating course of the intercellular space across the picture.

Slide 71

EM detail of junctional complexes. In the area of the tight junction (1) (zonula occludens) the two unit membranes approach each other and appear to merge revealing only three dense lines (instead of four). In the area of the intermediate junction (2) (zonula adherens) the intercellular space narrows to about 20 nm, but there is still a space.

Slide 72

EM of cilia cut longitudinally. (A few microvilli are on the neighboring cell to the left, for a size comparison.) Notice that each cilium is rooted in a barrel-like basal body. The dense lines extending from the basal bodies and up into the cilia are microtubules. The unit membrane of the cell continues up over each cilium.

Slide 73

Cross-cuts of cilia showing the typical 9X2 +2 arrangement of microtubules within the cytoplasm ( ring of 9 doublets plus 2 single microtubules in the center). The cell membrane envelopes each cilium.

Slide 73a

Tangential section of cilia showing the structural transitions that occur between the shaft of the cilia (upper right) and the basal bodies (lower left) which give rise to the cilia.

Slide 74

EM of hepatocyte illustrating size relationships between glycogen particles (1 and 2) and ribosomes of the RER (3).

Slide 75

Typical arrangement of cisterns of rough ER in a secretory epithelial cell. A few mitochondria (1) are at the lower right. The presence of ribosomes on the RER, with all their ribonucleic acid content, render them basophilic to stains. 2=secretory granule.

Slide 76

Serous secretory acini showing cytoplasmic basophilia toward their bases where a lot of rough ER lies. The presence of rough ER in such abundance signifies production of protein (in this case, some digestive enzyme). The secretory granules are pale here.

Slide 77

Details of a Golgi apparatus (body) showing the forming face (1); maturing face (2); saccules (3) and secretory vesicles (4) budding from the saccules. The Golgi complex typically lies adjacent to the nucleus. 5= centriole.

Slide 78

High magnification of a network of smooth endoplasmic reticulum. Unlike rough endoplasmic reticulum, which usually occurs in flat sheets, this organelle comprises interconnected tubules (1). 2 = Mitochondrion; 3 = Free ribosomes, seen either singly or as Polyribosomes (polysomes).

Slide 79

EM of microtubules, seen as fine parallel lines when cut longitudinally (lower panel) or circles when cut transversely (upper panel). Images are from dendrites and axons of neurons.

Slide 80

EM of plasma membrane infoldings (PF) and mitochondria (M) that are aligned parallel to the membranes. Note the basal lamina (BL) at the base of the cells.

Slide 81

Part of a lymphocyte showing a centriole (C) cut transversely. Note the triplet arrangement of microtubules cut in cross-section. GA = Golgi apparatus (body); PR = Polyribosomes (polysomes); NS = Perinuclear space (of the nuclear envelope).

Slide 82

Part of a lymphocyte showing continuity of the rough endoplasmic reticulum (rer) with the nuclear envelope (at arrow).

Slide 83

Cytoplasmic organelles of a renal collecting duct cell. TL = Tubular lumen; MV = Microvilli on cell surface; M = Mitochondrion; PR = Polyribosomes (polysomes); GA = Golgi apparatus (body); IS = Intercellular space; notice how corrugated the interdigitations of the cell membranes are between the two cell. (lower right).

Slide 84

Details of mitochondria. 1 = External envelope; 2 = Cristae; 3 = Matrix (the more electron-dense material); 4 = Granules within the matrix.

Slide 85

Large lipid droplets (LD) are seen within a cell in the deeper parts of the adrenal cortex. The lipid matrix has been removed during tissue preparation. M = Mitochondria (with tubular cristae are typical of steroid producing cells); SER = Smooth endoplasmic reticulum.

Slide 86

Detail of secondary lysosome with engulfed material within it. 1 = Limiting membrane; 2 = Matrix; 3 = partly digested material.

Slide 87

Different stages of the pinocytosis, an endocytic process, in an endothelial cell. The vessel lumen is to the right; the underlying connective tissue is to the left. Notice the thin gray (electron-dense) line of the basal lamina immediately along the left border of the cell. 1 = Vesicle open to the outside of cell, facing the extracellular matrix; 2 = Vesicle partially enclosed by cell membrane; 3 = Vesicle limited by membrane and wholly within cytoplasm of cell. The elongate nucleus lies in the center of the cell.

prev main next

John A. McNulty Last Updated: May 9, 2000