Loyola University Medical Education Network Part 17: Gastrointestinal Tract

Slide 1

The digestive tract begins with the mouth, oral pharynx, and esophagus, all of which are lined by moist (non-keratinized) stratified squamous epithelium. In this diagram note the crossing of the digestive and respiratory tracts in the region of the pharynx. At that point there can be intermixed patches of pseudostratified columnar and stratified squamous epithelia.

Slide 2

The GI tract typically has a glandular mucosa (looks dark and thick here). Characteristics of the mucosa depend upon the function of the particular part of the tract concerned. This particular section is of colon, with lots of intestinal glands (crypts of Lieberkuhn) but no villi.

Slide 3

Diagram of the GI tract, showing its basic layers and the location of the various types of glands associated with it. Note also the mesenteric attachment and the continuation of its mesothelial covering (the dark outer line) as the outside serosa of the gut. The mesentery itself is a sandwich, with a layer of mesothelium on either side and an in ner filling of areolar connective tissue supporting blood vessels and nerves and sometimes containing a considerable amount of fat.

Slide 4

Histological section of the GI tract, showing the basic layers clearly. The glandular mucosa (to the right) is quite dark because of all the epithelial and connective tissue nuclei it contains. A thin strip of pink marks the muscularis mucosae. Next comes the very dark pink submucosa which is mainly dense collagen fibers. Further left are the two, paler pink layers of the muscularis externa: a wide band of inner circular smooth muscle and a narrower band of outer longitudinal smooth muscle. Furthest left comes the serosa, so recognized because it has a "finished" edge of mesothelium. This is probably quite near the mesenteric attachment because there is so much adipose tissue and some fairly large blood vessels within the serosa.

Slide 5

Detail of mesothelium, looking down on its surface. The simple squamous cells fit together in a "pavement" effect. The intercellular boundaries have been silvered here.

Slide 6

Now we'll look at each part of the GI tract in turn, to see major identifying features. First is the esophagus showing the 4 major layers typical of GI wall, in order:

Slide 7

Another section of esophagus, showing again the characteristic stratified squamous epithelium, the rather thick dense muscularis mucosae, and the very thick muscularis externa, with some patches of large-fibered skeletal muscle mixed with bands of smooth muscle. Notice that the muscle layers look more "solid" here than the lighter staining connec tive tissue layers. Blood vessels are evident in both the lamina propria and the submucosa. A piece of submucosal gland shows to the right.

Slide 8

Junction of esophagus (left) and cardiac stomach (right). There is a sudden change in epithelium, from stratified squamous to simple columnar. Mucosal glands of the cardiac portion of the stomach are simple coiled tubules, usually much shorter than pyloric glands, which tend to be longer and more crowded. (In our slides, you will see cardiac st omach only as a junction with esophagus, so there should be no confusion with pyloric stomach.)

Slide 9

Low power view of stomach through two folds in the wall. Dark pink represents mucosa, with many glands in it. Submucosa extends up into the folds. Note the thin pink line of the muscularis mucosae between the submucosa and the mucosal glands. The muscularis externa shows the usual two bands of muscle, is relatively thin, and has a definite oute r edge, indicating the presence of mesothelial serosa.

Slide 10

Gastric (fundic) glands of the mucosa of the main body of the stomach. They are typically straight and narrow, with shallow pits leading into long secretory portions. The surface epithelium dips down into pits and is simple columnar in type; these cells are all alike and secrete mucus. The chief and parietal cells of the lower portions of the gla nds will be discussed in detail in later slides. Notice the loose areolar lamina propria surrounding the glands, and the pink layer of muscularis mucosae at the base of the glands.

Slide 11

This section has sliced horizontally through several pits of gastric glands, showing the extremely regular simple columnar epithelial cells lining them. Lamina propria connective tissue lies between the pits.

Slide 12

Pyloric glands, which typically have long, narrow, tubular pits with a coiled glandular portion at the base. These glands produce a mucoid secretion. The thin muscularis mucosae and the thick muscularis externa are both solid looking and a deeper pink than the submucosa in between.

Slide 13

Mallory-stained pyloric mucosa, showing the coiled bases of the glands. There are no goblet cells in any portion of the stomach.

Slide 14

Transition from pylorus on left to duodenum on right. Notice the appearance of the duodenal glands of Brunner lying below the muscularis mucosae in the submucosa. These show up before duodenal villi appear on the surface.

Slide 15

Duodenum, showing villi and numerous short, darkly stained glands (crypts of Lieberkuhn) above the thin, pink muscularis mucosae, and pale glands of Brunner in the submucosa below. Peripheral to Brunner's glands are the solid-looking, pink, inner circular and outer longitudinal layers of the muscularis externa. The outermost edge is a "finished" one, so it is a serosa with mesothelium covering the surface; this means that the cut has been made on the duodenal surface lying next to the peritoneal cavity.

Slide 16

Detail of dark intestinal glands (crypts of Lieberkuhn) above and pale Brunner's alveolar units below the thin pink line of muscularis mucosae. Brunner's glands empty their mucous contents into the crypts. Their secretion is somewhat alkaline to neutralize the highly acid contents entering the duodenum from the stomach.

Slide 17

Another view of duodenum, with villi at the top, a band of straight, relatively short, narrow intestinal crypts below them, and then a whole field of pale, mucus-secreting Brunner's glands in the lower half of the picture (in the submucosa). Several tubules of Brunner's glands have pushed through the thin pink layer of muscularis mucosae, up into the mucosa; you can see one of them emptying into the base of a crypt on the right side of the picture. Through this route their secretions will reach the lumen of the gut. Notice the presence of goblet cells in the mucosal epithelium now that we've reached the small intestine.

Slide 18

Tangential cut through crypts; they are essentially small straight tubules lined with simple columnar epithelium. They secrete intestinal digestive enzymes and mucus. Notice the cellular connective tissue of the lamina propria lying between the crypts.

Slide 19

View of jejunum, showing long villi and short crypts. There are no longer any submucosal glands. The submucosa is thin and the muscularis externa is relatively thicker. There is a serosa because the jejunum is slung freely in mesentery.

Slide 20

Another view of small intestine to show how villi look when cut in cross-section. None of the villi are cut to show their full length.

Slide 21

Detail of cross-cut villi, showing goblet cells in the simple columnar absorptive epithelium. A cellular connective tissue lamina propria forms the core of each villus. More details will be seen a bit later.

Slide 22

Low power view of jejunum, in Mallory stain. Mucosa is purple; villi are quite tall, intestinal crypts short; notice the very thin purple line at the base of the mucosa (the muscularis mucosae). Submucosa is bright blue c.t. and extends up into the folds (plicae circulares). The two layers of the muscularis externa are purple-blue. There is a thin, light blue, c.t. serosa on the outside.

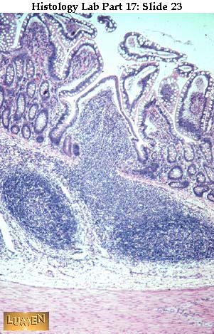
Slide 23

Wall of ileum, with villi and short crypts in the mucosa. There are now also Peyer's patches (dense lymphatic tissue which extends from the submucosa up into the mucosa, thus interrupting the thin, pink muscularis mucosae).

Slide 24

A reminder that an isolated lymphatic nodule can be found anywhere along the GI tract. This one is in the pyloric stomach. (Don't be fooled by what look like villi, making you think this is small intestine. Those are long pits going down to coiled glandular portions. Also, there are no goblet cells.)

Slide 25

Medium-power view of colon mucosa, with no villi and lots of crypts of Lieberkuhn. (Many bluish goblet cells are in the lining of the crypts.) The lamina propria around the crypts is heavily infiltrated with lymphocytes (typical of the colon).

Slide 26

Low power of the appendix, with its typically heavy concentration of lymphocytes in both the mucosa and submucosa. Crypts are still here but are less numerous than in the large and small intestines. Notice the presence of fat cells in the submucosa. The outermost coat also has an accumulation of fat.

Slide 27

Higher magnification of the same appendix, showing the heavy packing of lymphocytes in the wall. To the right, immediately beneath the crypts, you can see a narrow pink strip of muscularis mucosae, separating mucosa above from submucosa below. The dense diffuse distribution of lymphocytes indicates the presence of T-cells. A secondary lymphatic nodule with a germinal center lies to the left, indicating localized B-cell activity. Note the presence of goblet cells in the epithelium lining the surface and the crypts.

Slide 28

Detail of the appearance of crypts of Lieberkuhn as they appear in both the colon and appendix. The goblet cells are particularly numerous because of the need for lubrication of the gut contents. (The appendix, of course, is a vestigeal structure.) Notice also the numerous lymphocytes in the c.t. lamina propria.

Slide 29

In the GI tract, the main differences from one part to the next are in the mucosa, and occasionally in the submucosa. The muscularis externa is pretty much the same in its basic pattern all along the way. Here you see the typical outermost layers, with a relatively thick inner circular band of smooth muscle and a usually thinner coat of outer lo nizitudinal smooth muscle. These directions are so consistent that you can determine the plane of section of the gut just by looking at the external muscle. In this particular case, the gut was cut in cross-section. This section also shows a serosa, with its "finished" edge of mesothelium. Any part of the gut that is slung in a mesentery has a serosa; any part that is retroperitoneal has an adventitia on the deep, buried surface and a serosa on the surface facing the peritoneal cavity. [Note: at the top of this structure you see an accumulation of lymphocytes in the submucosa.]

Slide 30

Another view of outer gut wall. At the extreme right there seems to be the beginning of some fat, so that is presumably the adventitia or serosa. This wall, then, like the previous one, has been cut transversely, as we can judge by the direction of cells in the musde layers. Between the two muscle layers is a pale, tangled-looking Auerbach's mye nteric p1exus. No cell bodies of neurons are visible, however.

Slide 31

Autonomic (parasympathetic) ganglion cells lying between the two muscle layers of the muscularis externa (in middle of picture). There are two general locations where such ganglion cells are found in the gut: Meissner's (submucosal) plexus in the submucosa, and Auerbach's (myenteric) plexus between the two muscle layers. Both plexuses are parasy mpathetic, these being the postganglionic (or second) neurons in the basic two-cell autonomic chain. The preganglionic cells which synapse with most of the postganglionics of the gut lie in the dorsal motor nucleus of the vagus in the brain. (For the lowest portions of the gut, the preganglionics originate in the intermediate gray matter of the sacral spinal cord.)

Slide 32

Higher power of neuronal cell bodies of Auerbach's plexus in the middle of the picture. They are larger than surrounding cells and have the vesicular nuclei and dark prominent nucleoli typical of so many nerve cells.

Slide 33

In the lower left is a taenia coli, one of 3 strips of outer longitudinal muscle peculiar to this part of gut (the colon). Inner circular coat is continuous here above it, but the outer muscle coat is very thin at the right and thick at lower left where the taenia is.

prev main next

John A. McNulty Last Updated: August 12, 1996