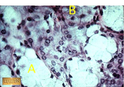
Identify cell types 'A' and 'B'
Answer A
Mucus
Answer B
Serous