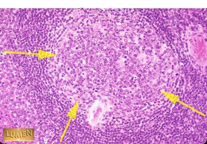
QA What is this?
QB What cells can be found here?
Answer A
Germinal center
Answer B
Centroblasts,
Centrocytes,
T helper cells,
Folicular Dendritic cells,
Macrophages