Normal Bronchi: Histology

Normal: Microscopic section bronchial epithelium (Dr. A.J. Chandrasekhar)

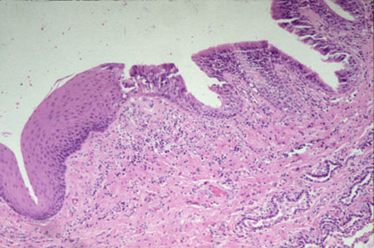
Normal: Microscopic section bronchi (Dr. Ralph Leischner)

Normal: Microscopic section .A branching protion of the respiratory tree. (Dr John Clancy)

Normal   Microscopic section (Dr John Clancy)

Normal  Microscopic section (Dr John Clancy)

Normal   Microscopic section  bronchus(Dr John Clancy)

Normal  Microscopic section  bronchus(Dr John Clancy)

Chronic Bronchitis: Histology

Reid index:  (Dr. Ralph Leischner)

Reid index: Normal  (Dr.Aliya Husain)

Drawing  Reid index:  (Dr.Aliya Husain)  Not ours

Drawing Normal/Chronic bronchitis:   (Dr.Aliya Husain) Not ours

Chronic bronchitis  Microscopic section (Dr. Ralph Leischner)

Chronic bronchitis:  Chronic bronchitis/Goblet cell hyperplasia.  (Dr.Aliya Husain)

Acute Bronchitis : Gross (Dr. Ralph Leischner)

Anatomy /model/drawings

Model: of trachea and bronchi (Dr John McNulty)

Dissection: of the lungs (Dr John McNulty)

Drawing of bronchial tree (Dr. A.J. Chandrasekhar)

Drawing: of terminal bronchial tree. (Dr.Aliya Husain)  Not Ours

Drawing:  of terminal bronchial tree. (Dr.Aliya Husain) Not ours

Clinical Pictures

Blue bloater:  (Dr A.J. Chandrasekhar)

Cyanosis: Blue bloater/cyanotic handse/chronic bronchitis (Dr. A.J. Chandrasekhar)

Cyanosis:  Blue bloater/cyanotic tongue/chronic bronchitis (Dr. A.J. Chandrasekhar)

Oxygen:  by nasal cannula. (Dr. Ralph Leischner)

Pink puffer:  Emphysema patient with oxygen, prominent accessory muscles (Dr. A.J. Chandrasekhar)

Slide  Chronic bronchitis definition (Dr. Ralph Leischner)

Neck Veins   (Dr. A.J. Chandrasekhar)

Accessory muscle  Emphysema patient with oxygen, prominent accessory muscles (Dr. A.J. Chandrasekhar)

Prolonged expiration   (Dr. A.J. Chandrasekhar)

Pursed lip breathing   (Dr. A.J. Chandrasekhar)

Diaphragmatic breathing   (Dr. A.J. Chandrasekhar)

Barrel shaped chest   (Dr. Ralph Leischner)

EKG Cor-pulmonale Pulmonary disease pattern - RV hypertrophy   (Dr. Ronald Schreiber)

EKG Corpulmonale   Enlarged  Pulmonary disease pattern - RV hypertrophy (Dr. Ronald Schreiber)

CXR Emphysema, Blebs, Pulmonary hypertension, cardiomegaly (Dr. A.J. Chandrasekhar)

CXR CHF + COPD/CXR (Dr Terrence C. Demos )

CXR CHF + COPD/CXR (Dr Terrence C. Demos)


Physiology/PFT

Drawing:   Oxyhemoglobin dissociation curve. (Dr. Charles L. Webber, Jr)

Drawing:   Oxygen dissociation curve /alterations. (Dr. Charles L. Webber, Jr)

Drawing: Air flow resistance /Lung volume. (Dr. Charles L. Webber, Jr)

Drawing: Dynamic airway compression /flow volume loop. (Dr. Charles L. Webber, Jr)

Drawing:  Forced expiratory vital capacity graph. (Dr. Charles L. Webber, Jr)

Drawing:  Flow volume loop. (Dr. Charles L. Webber, Jr)

Drawing  Cross sectional area  (Dr. Charles L. Webber, Jr)

Drawing;  Work of breathing  (Dr. Charles L. Webber, Jr)

Drawing:  Compliance  (Dr. Charles L. Webber, Jr)

Pulmonary function tests

PFT Data:  Spirometry (Dr. A.J. Chandrasekhar)

PFT:   Slow Vital capacity Normal

PFT:  Volume/Time Normal  (Dr. A.J. Chandrasekhar)

PFT:  Timed vital capaccity  Normal (Dr. A.J. Chandrasekhar)

PFT: Flow volume loop/Bronchodilator response (Dr. A.J. Chandrasekhar)

PFT  FVC/Bronchodilator response (Dr. A.J. Chandrasekhar)

PFT  TLC/Partition Normal (Dr. A.J. Chandrasekhar)

PFT: TLC/Lung partition  Hyperinflation (Dr. A.J. Chandrasekhar)

PFT  Flow volume loop  Normal (Dr. A.J. Chandrasekhar)

PFT:  Flow volume loop Normal (Dr. A.J. Chandrasekhar)

PFT:  Flow volume loop/obstructive pattern (Dr. A.J. Chandrasekhar)

PFT: Flow volume loop/obstructive defect (Dr. A.J. Chandrasekhar)

PFT:  Flow volume loop/Large airway obstruction (Dr. A.J. Chandrasekhar)

PFT: Flow volume loop/obstructive defect (Dr. A.J. Chandrasekhar)

PFT: FVC/Timed vital capacity/Obstruction (Dr. A.J. Chandrasekhar)

PFT:  FVC/Timed vital capacity/obstructive pattern (Dr. A.J. Chandrasekhar)