36 year old M respiratory therapist normally in good health presented to his local ER with fever and a sore throat. Exam revealed exudative pharyngitis and shotty cervical adenopathy. He was discharged home with a course of azithromycin. Two days later his family brought him back to the ER with persistent fevers and mental status changes. The family also noted decreased oral intake. At that time the patient was somnolent, confused, febrile and hypotensive. Laboratories revealed a creatinine of 9.0 and platelet count of 17,000.

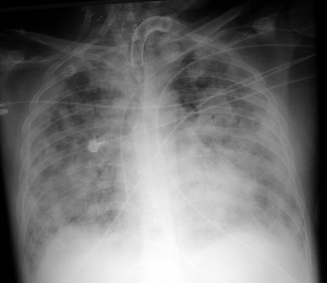
The patient was admitted to the intensive care unit where he received broad spectrum antibiotics and fluids. Exam and pulmonary artery catheter measurements were consistent with sepsis syndrome. His oxygenation progressively deteriorated and he became increasingly confused necessitating intubation. Chest x-ray demonstrated diffuse ground glass pulmonary infiltrates. CT scans of the head, chest, abdomen and pelvis were performed and were unremarkable except for diffuse bilateral pulmonary infiltrates. The infectious disease consultant was concerned about possible thrombotic thrombocytopenic purpura and the patient was transferred to LUMC for possible plasmapheresis.

On transfer the patient was somnolent but arousable. T=40C, BP=90/40, P=120 vent AC 12/500/+10/70%. R= 24 Peak airway pressure was 45, plateau pressure was 35 cm H20, with an inspiratory flow rate of 60 L/min. Exam was normal except for the lungs which revealed posterior crackles and the skin which revealed a few purpuric lesions on the thighs.

Labs

 

 

 

 

 

 

 

 

 

LABS:

Blood cultures done at the referring hospital were negative.

CBC: Hb 10.5 Hct 29.5 WBC 20.4 [G 72 B 17 L 6 M 2] Platelets[after transfusion] 60

Coag Profile: PT 14 Fibrinogen 385 FSP <10 D- dimer 2-4. PTT 44

Chemistry: Na 145 K 3.7 Cl 106 Hco3 28 BUN 77 Creat. 2.9 Glucose 139

Alb 2.9 Bil 9.4/6.9 Alk phos 135 AST 46 Alt 22 LDH 384 Lactic acid 1.5.

ABG: pH 7.37 pCO2 50 pO2 69 Hco3 28 Sat. 92.6%

U/A Yellow &cloudy with 1+ protein RBC 0-2 WBC 2-5 Hyaline Casts 10-20.

Lumbar Puncture: Bloody tap RBC 112000 WBC 120[ S 84 L 10 M 4 O 2]

Gram stain negative Glucose 90 Protein 243

CXR        CT Chest      (A new window will open to show x-rays. Close window to return to the case)

 Proceed

 

 

 

 

 

 

 

 

Q 1: Is urgent Plasmapheresis indicated at this time?

Answer 

 

 

 

 

 

 

 

 

 

 

 

NO

TTP is characterized by a microangiopathic hemolytic anemia which results in end organ damage.  Clinically, the diagnosis of TTP is made when the pentad of fever, mental status changes, thrombocytopenia, microangiopathic hemolytic anemia and uremia are present in the absence of an alternative explanation for the symptoms.  The most common alternative is sepsis with disseminated intravascualar coagulation (DIC). The distinction is important as well designed, controlled trials have demonstrated mortality benefit with early Plasmapheresis in TTP, while plasmapheresis may further complicate the management of septic shock.

Clinical exam  and laboratory exam can help distinguish TTP from DIC.  Septic hemodynamics and ARDS can be seen in both disorders but tend to be less severe in TTP.     Schistocytes (RBC fragmentation due to thrombotic microangiopathy)are seen in the peripheral smear in both disorders. Thrombocytopenia due to platelet consumption is also seen in both disorders. However, in DIC intravascular thrombosis and thrombolysis result in low fibrinogen levels and high levels of fibrin degradation products and D-Dimer, while in TTP these values are usually normal.  The high levels of FDP and D-dimer cause the PT and PTT to be elevated in DIC, while in TTP they are usually normal.

Proceed

 

 

 

 

 

 

 

 

 

Clinical course:

In this patient, the elevated PT, PTT, and the  D-Dimer as well as the presence of ARDS and septic hemodynamics favor the diagnosis of sepsis with DIC.  We decided to focus first on the patient’s chief complaint of sore throat. Careful nasopharyngoscopy of the neck and examination of the posterior oropharynx (which required the administration of paralytic agents) was performed demonstrating swelling of the R tonsil. 

A neck CT : Image 1     image 2    was then performed: 

Proceed

 

 

 

 

 

 

 

 

Neck CT revealed extensive edema of the tonsillar fossa and the neck with a loss of the normal tissue planes. Emergent right tonsillectomy, R neck dissection/debridement and tracheostomy was performed by ENT. The deep tissues of the neck were severely inflamed and purulent exudate was noted. The internal jugular vein was found to be thrombosed. The inflammatory process and thrombosis extended into the upper mediastinum.

 Proceed

 

 

 

 

 

 

 

 

 

 

Q 2: What do you think is the diagnosis?

Answer

 

 

 

 

 

 

 

 

 

 

 

Lemierre’s syndrome

Originally described by Lemierre in 1936, Lemierre's syndrome is characterized by an anaerobic abscess in the neck, usually with either fusobacterium necrophorum or anaerobic streptococci.  The disease often begins as a pharyngitis or tonsillitis, then spreads into the deeper tissues of the neck.  In advanced cases the internal jugular vein is thrombosed.  The initial symptoms are relatively non-specific with sore throat, fever and lateral neck tenderness.  Edema of the peritonsillar fosssa and neck develops later in the disease, often simultaneous with the development of the sepsis syndrome or the acute respiratory distress syndrome as occured in this patient.  With the development of a septic thrombophlebitis in the internal jugualr vein, metastatic seeding of the brain, meninges, liver, spleen, endocardium and pericardium have been reported.

The mainstay of therapy is antibiotics directed against anaerobic organisms.  Mortality untreated may be as high as 80%, but drops to 15% with appropriate antibiotic therapy.  The role of heparin and surgical debridement remains unclear, but has been reported in several cases. 

Proceed

 

 

 

 

 

 

 

 Outcome

The patient returned from the operating room with fever (40C), severe ARDS (lung compliance <10, PaO2/FiO2 <70 on 25 cm H2O PEEP), and septic shock requiring high dose norepinephrine to support his blood pressure. Although the patient was persistently febrile for several days his hemodynamics, gas exchange, lung function and renal function slowly improved.

Sedation was discontinued without a return of consciousness. Head CT was unremarkable. A repeatlumbar puncture was bloody with an opening pressure of 26. Differential diagnosis included subarachnoid hemorrhage complicating heparin therapy, anoxic encephalopathy, lateral venous sinus thrombosis related to intracranial extension of the IJ thrombosis, and cerebritis. A repeat head CT revealed evidence for cerebral edema. Hyperventilation, dexamethasone and steroids were administered. An MRI revealed multiple hyperdense lesions throughout the brain which were not typical of infarction abscess and were more suggestive of vasculitis. The dural venous sinuses appeared patent.

He was weaned from mechanical ventilation and transferred to rehabilitation. Cognitive function returned to normal. The patient was left with some residual extensor weakness worst in his R hand. MRI of the cervical spine revealed a C7 disc subluxation. Renal function eventually recovered with dialysis support. The patient was treated with ceftriaxone and flagyl for a total of 6 weeks. Anticoagulation was planned for a minimum of 6 months.

References

 

 

 

 

 

 

 

Reference: 

Goodnough,L.T. Thrombotic thrombocytopenic purpura and the approach to thrombotic microangiopathies. In: Principles of Critical Care. Hall,J.B., Schmidt,G.A., Wood,L.D.H, eds. McGraw Hill. New York. 1998.

Authors: George JN. Gilcher RO. Smith JW. Chandler L. Duvall D. Ellis C.
Institution: Oklahoma Blood Institute, Department of Medicine, University of Oklahoma Health Sciences Center, Oklahoma City 73190, USA. Jim-George@OUHSC.edu
Title: Thrombotic thrombocytopenic purpura-hemolytic uremic syndrome: diagnosis and management.
Source: Journal of Clinical Apheresis. 13(3):120-5, 1998.

Authors: Vandenberg SJ. Hartig GK.
Institution: Division of Otolaryngology-Head and Neck Surgery, University of Wisconsin-Madison, 53792-3236, USA.
Title: Lemierre's syndrome.
Source: Otolaryngology - Head & Neck Surgery. 119(5):516-8, 1998 Nov.

Authors: Stallworth JR. Carroll JM.
Institution: Pediatrics Department, University of South Carolina School of Medicine, Columbia, USA.
Title: Lemierre's syndrome: new insights into an old disease.
Source: Clinical Pediatrics. 36(12):715-7, 1997 Dec.

Authors: Lee BK. Lopez F. Genovese M. Loutit JS.
Institution: Department of Medicine, Stanford University Hospital, Calif., USA.
Title: Lemierre's syndrome.
Source: Southern Medical Journal. 90(6):640-3, 1997 Jun.

Authors: Harar RP. MacDonald A. Pullen D. Ganesan S. Prior AJ.
Institution: Whipps Cross Hospital, London, UK.
Title: Lemierre's syndrome: are we underdiagnosing this life-threatening infection?
Source: Orl; Journal of Oto-Rhino-Laryngology & its Related Specialties. 58(3):178-81, 1996 May-Jun.