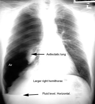
Note air on top and effusion on bottom.