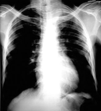
Note the apical mass.