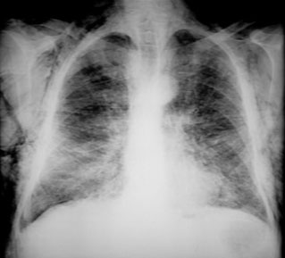
Note air in the soft tissues.