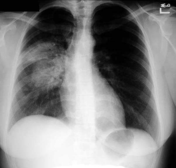
Blastomycosis

  • Round pneumonia
  • "Mass" like density with air bronchogram