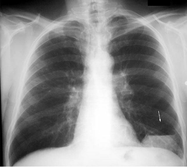
Bleb

  • Avascular zone in LLL

  • Thin wall of bleb

  • Filled with serous fluid (bottom x-rays)

  • No inflammatory changes

  • Resolved spontaneously

 

 

 

Thin wall of bleb

  • Thin wall of bleb

  • Air fluid level

    • Filled with serous fluid

  • No inflammatory changes

 
 
  • Thin wall of bleb

  • Air fluid level

    • Filled with serous fluid. 

  • No inflammatory changes