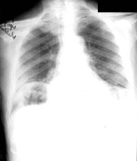
Cavity

  • Large
  • Thick walled
  • Irregular lumen
  • Stalagmites