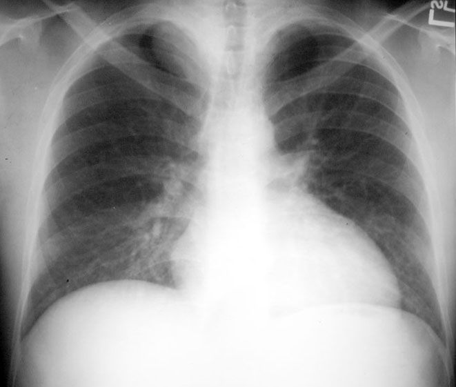
Cystic Hygroma

  • Extrapleural sign

  • Apical density on right

  • Extending into neck