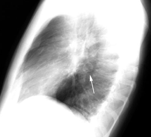
Coccidioidomycosis

Thin walled cavity