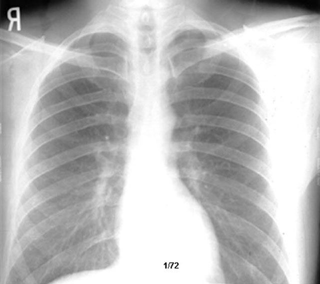
Eosinophilic Granuloma

  • Interstitial markings
  • Reticulonodular
  • Slight reduction in lung volume compared to old film (count the ribs to diaphragm)
  • Full hilum and prominent azygous node

Review old x-ray below.