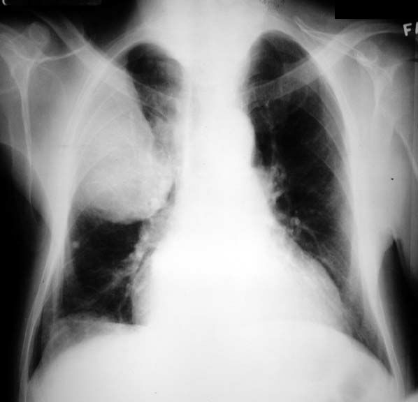
Extrapleural Lesion

  • Mass density
  • Pleural based
  • Sharp inner margin, indistinct outer margin
  • Expanding rib lesion

Once the lesion becomes this large, the angle of contact with the chest wall is not concave and the cat under the rug appearance is no longer present.

Colon ca with rib metastases.