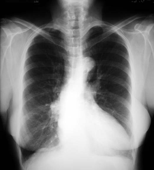
Fluid in Fissure

Phantom Tumor

Pulmonary edema

 

Fluid in fissure

  • Biconvex density

  • In oblique fissure

 

Clearance with treatment

Other findings include:

  • Displacement of right paravertebral line due to tortuous descending aorta