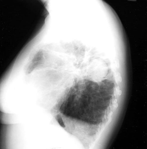
Halo Sign

In a cavity with a fungus ball, there is a crescentic lucent space along the upper portion of the density giving the appearance of a halo. This phenomenon is seen with two clinical presentations of pulmonary aspergillosis:
  • Fungous ball  (as in this case)
  • Necrotizing subacute pneumonia during recovery phase from leukopenic episodes