 |
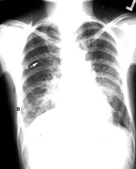
Kerley Lines
This is a case of cancer of the breast with
lymphangitic metastasis.
| A: |
Long wavy lines in upper and mid lung field |
| B: |
2-3 cm long pleural based in bases perpendicular to lateral
chest; reliable |
| C: |
Fine fibrillatory lines: You can imagine this on most cases |
|