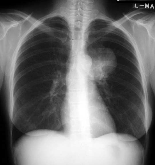
Mass

  • Round homogenous density

  • Sharp margins

  • Medial portion pleural based (acute angle)

This is a case of squamous cell lung cancer.