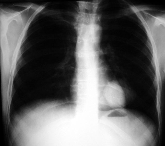
Malignant Melanoma

Metastatic to Lung

  • Mass density LLL

  • Inhomogenous cardiac density

  • Retrocardiac

Lateral and IVP films below.

 

 

 

Calcified Adrenal Gland - Incidental finding