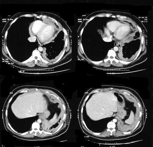
Mesothelioma

  • Unilateral haziness

  • Smaller left hemithorax

  • Chest wall swelling

  • Loss of diaphragmatic silhouette

  • Blunting of costophrenic angle

  • Pleural thickening / Mass