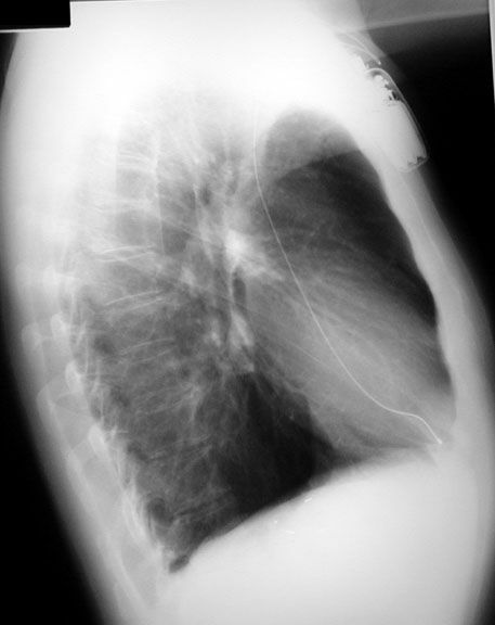
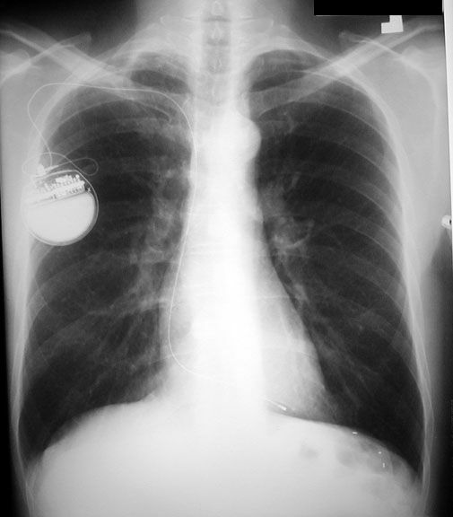
Pacemaker:  Note the path of the catheter from the right side.