Pulmonary Embolism

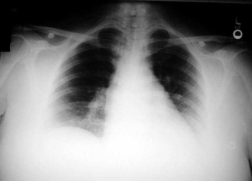
  • Nothing specific seen in chest x-ray to make the diagnosis of pulmonary embolism.

  • Left diaphragm silhouette is lost, probably due to pleural effusion.

  • Ventilation perfusion scans confirm pulmonary embolism.