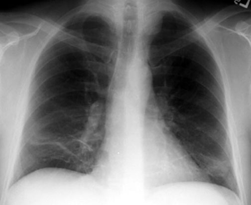
Posterior Mediastinal Mass

- Mass density in left para tracheal region

- Extrapleural

Additional finding include:

  • Sub-segmental atelectasis

Lateral and labeled films below.

 

Sub segmental atelectasis

Plat-like atelectasis