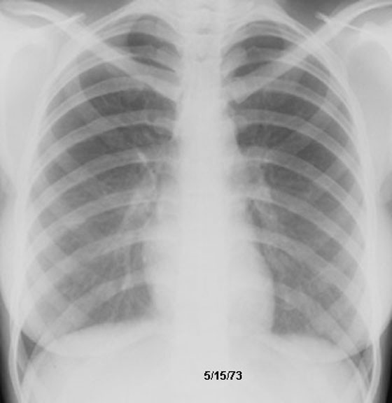
Sarcoidosis

Spontaneous Regression

Follow up film below.
Spontaneous Regression