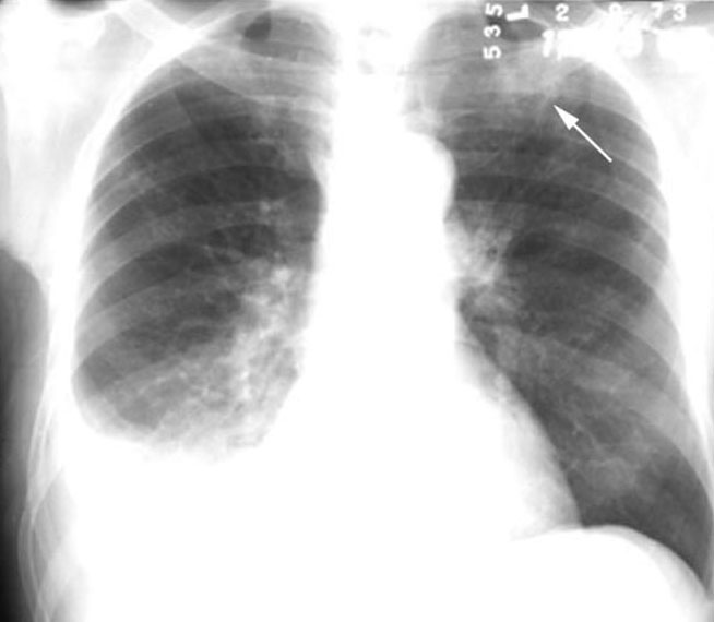
Tuberculosis

LUL cavity
  • Cavity behind clavicle - note increased density of clavicle in the region over lying cavity
Pleural effusion on right