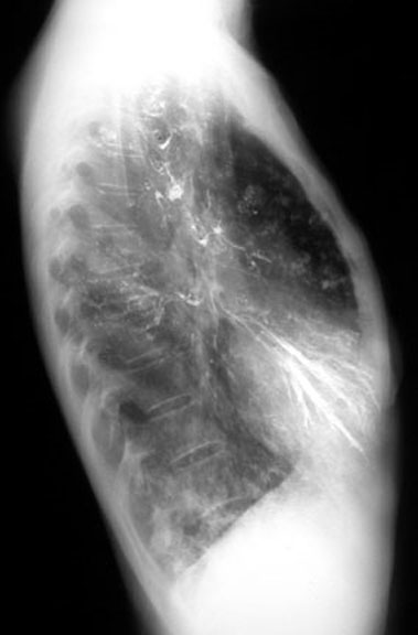
Tracheo-esophageal Fistula / 

Cancer Esophagus

  • Dye in bronchi following esophogram