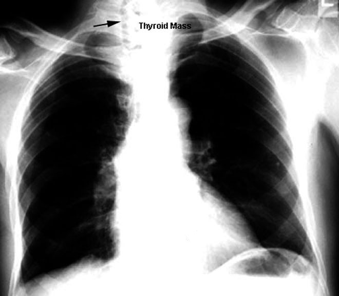
Tracheal Shift /
Thyroid Mass