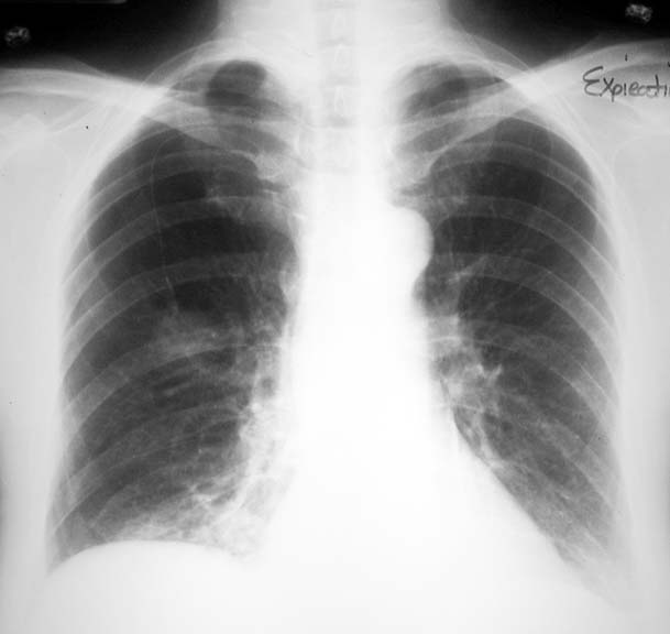
Note the bulbous end of indwelling catheter is projecting at various sites of the chest and can be mistaken for a lung lesion.