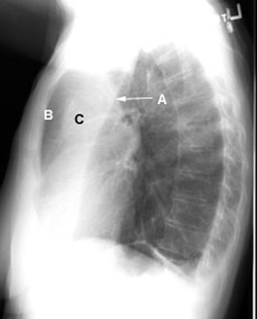
96a1.JPG (11184 bytes) Bowing Sign

In LUL atelectasis or following resection, the oblique fissure bows forwards in the lateral view. Bowing sign refers to this feature. (A) Forward movement of left oblique fissure (C) Atelectatic LUL (B) Herniated lung from right.