This exercise is intended for Pulmonary fellows and radiology Residents. Try your skills in evaluating cavities in chest x-ray. First identify the characteristics of the cavity. Generate a list of differential in your mind. Without knowing the clinical information, a specific diagnosis is difficult to make. Click on labeled image to see what the case turned out to be. If it was in your differential you should be happy. If you cannot find the answers for the questions raised, contact me.

Cavities

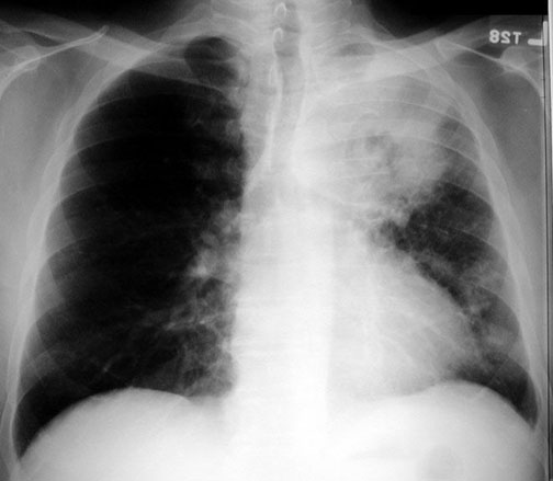
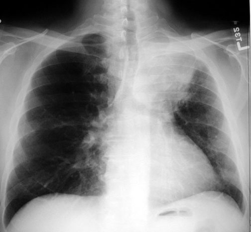
Case 1 Labeled Image What are the conditions where you get thin walled cavities?
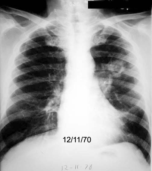
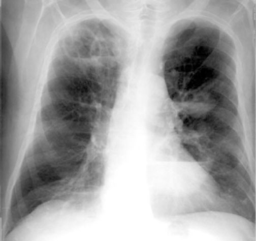
Case 2 Labeled Image What is the differential for multiple cavities?
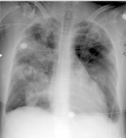
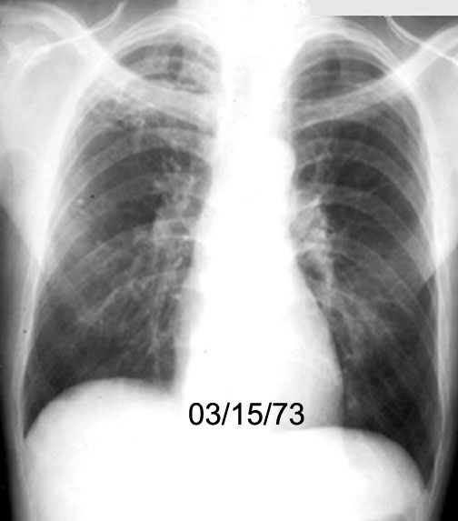
Case 3 Labeled Image What is the differential for thick walled cavity?
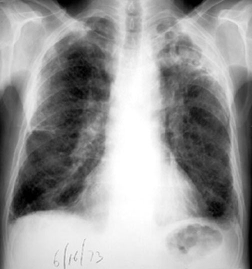
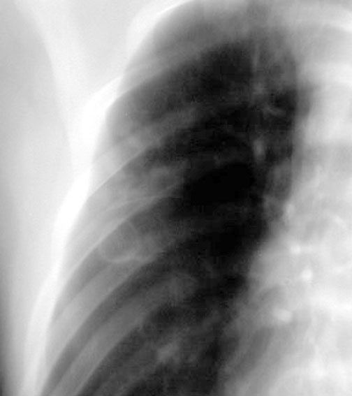
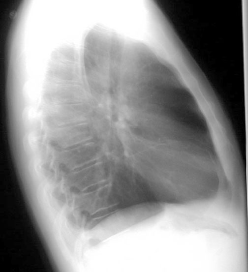
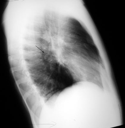
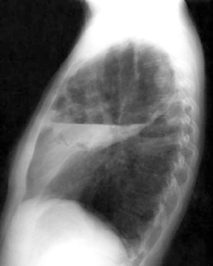
Case 4

Lateral

Labeled Image

Labeled Image

What are the contents of a cavity?
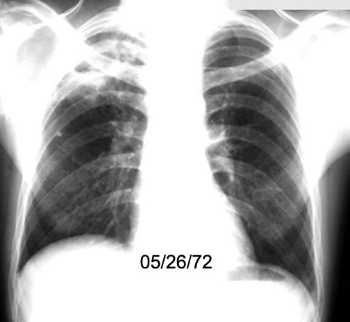
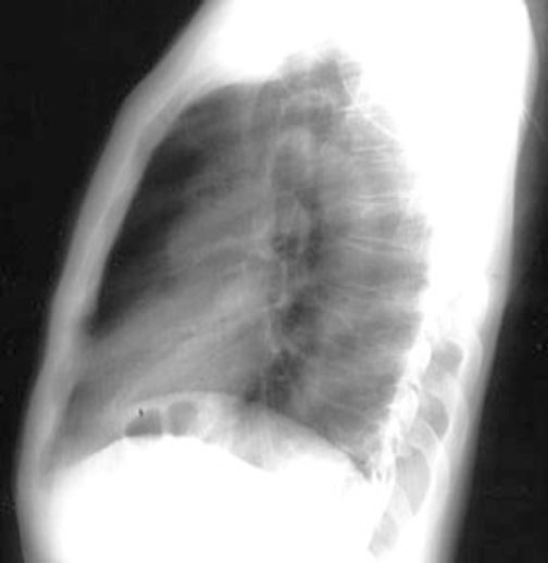
Case 5

Lateral

Labeled Image How do you distinguish septic emboli from aspiration pneumonia?
Case 6

Lateral

Labeled Image

Labeled Image

What is the differential for air fluid levels in the mediastinum?
Case 7

Lateral

Labeled Image

Labeled Image

What is the etiology for lung abscess in the anterior segments?

Case 8

Lateral

Follow up

Labeled Image I treated this patient as having lung abscess secondary to aspirated coin. The cavity turned out to be due lung cancer.

Moral: Close follow up until the problem is resolved.

Case 9

Follow up

Follow up

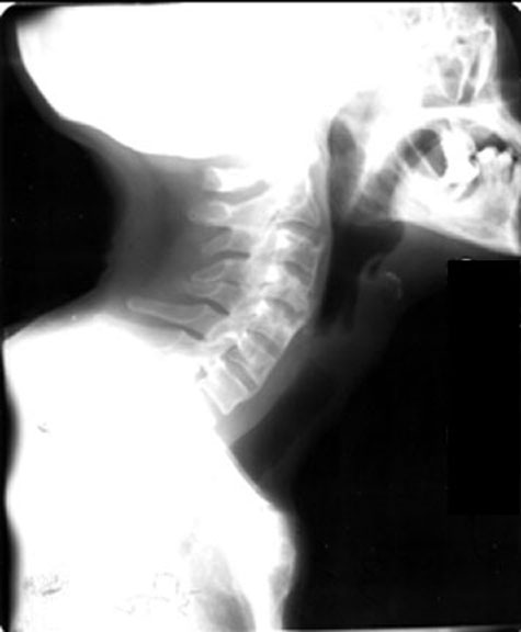
Spine

Neck

Labeled Image What are the pulmonary manifestations of Ankylosing spondylitis?
Case 10 Labeled Image What is the differential for multiple cavities?
Case 11

Lateral

Labeled Image What is the differential for thick walled cavity?
Case 12 Labeled Image

Labeled Image

Labeled Image

Follow the progression of break down of tumor. What are stalactites and stalagmites?
Case 13 Labeled Image What is the differential for air fluid levels over the cardiac density?
Case 14 Labeled Image

Labeled Image

What is the significance of pleural reaction?
Case 15 Labeled Image What are the characteristics of tuberculous cavity?
Case 16

Lateral

Labeled Image

Labeled Image

How do you distinguish cavities due to bronchogenous problems from vascular problems?
Case 17 Labeled Image What are the distinguishing characteristics of cavity due to Tb and M Kansasii (atypical Tb)?
Case 18

Lateral

Follow up

Labeled Image What are the causes for thin walled cavities? 

What are the possible reasons for the air fluid level in this case?

Case 19 Labeled Image What are the causes for bilateral upper lobe cavitary disease?
Case 20 Labeled Image List organisms causing necrotizing pneumonia leading to cavitation.
Case 21 Labeled Image  
Case 22

Lateral

Labeled Image

Labeled Image

 
Case 23

Lateral

Upright

Lateral upright

Supine

Lateral decubitus

What are the common cavities where fungous ball forms?
Case 24

Lateral

Labeled Image What is gangrene lung?
Case 25 Labeled Image What are the features of cavitating lung cancer?
Case 26 Labeled Image List of conditions where stalagmites and stalactites can be seen in a cavity.
Case 27 Labeled Image How do you distinguish septic emboli from aspiration lung abscesses?
Case 28

Lateral

Labeled Image

Labeled Image

How can you identify cavities projecting in CXR as not being in lung?
Case 29 Labeled Image

Labeled Image

 
Case 30

Lateral

Initial PA

Initial lateral

Follow up

Follow up

Labeled Image What are the common segments for aspiration lung abscess?

What are the types of aspiration?

Case 31

Lateral

Labeled Image What are the common primaries known to give rise to thin walled cavitating metastatic lesions?
Case 32 Labeled Image How does location of cavity in a mass help in the differential?
Case 33 Labeled Image  
Case 34

Follow up

Labeled Image

Labeled Image

What is semi invasive aspegillosis?
Case 35

Lateral

Close up

Labeled Image Most common cause for thin walled cavities?

You should probably ask which region?

Case 36

Followup

Follow up

Labeled Image

Labeled Image

Labeled Image

Observe the progression of breakdown of tumor explaining the radiological findings.
Case 37

Lateral

Labeled Image

Labeled Image

How do you distinguish LL lung abscess from hiatal hernia?
Case 38

Lateral

Labeled Image  
Case 39 Labeled Image What are the characteristics of cavity due to wegners granulomatosis?