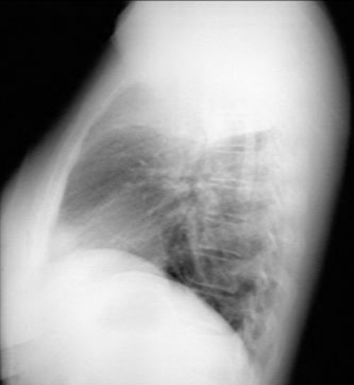
Right upper lobe consolidation

  • Density in the projection of right upper lung field
  • Upper lobe distribution
  • No significant loss of lung volume
  • Air bronchogram