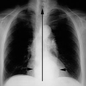
If the mediastinal density crosses mid-line most likely it is hiatal hernia