Definition
Pulmonary tuberculosis is an infection (inflammation) caused by
mycobacterium tuberculosis. The entire spectrum of tuberculosis will be covered
in depth in the microbiology course.
Pathology
The characteristic pathologic changes depend on the type of infection or
"exposure."
- Primary pulmonary TB (primary exposure) is characterized by the Ghon complex and consists of 1.) subpleural (fissure)
focus of inflammation. 2.) Infected (inflamed) lymph nodes draining the primary,
subpleural lesion.
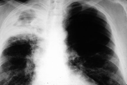
- Secondary pulmonary TB (reactivation) is characterized by a
focus of infection and granuloma formation usually in the apex
of the lung. The small granulomas (tubercles) eventually coalesce to form larger areas
of consolidation with central caseating necrosis. Regional lymph nodes contain caseating
granulomas.
- Progressive pulmonary TB: Primary or secondary TB may go on to
heal as caseating granulomas are replaced by fibrosis
and calcification. However, cases do not heal spontaneously or with therapy and progress
to form cavities or spread to other parts of the lung and other organs of the body through
lymphatic channels and the blood stream. This type of spread is known as miliary tuberculosis.