NORMAL BILE DUCTS



Common bile duct with
orifice of cystic duct and
evident pits corresponding
to underlying sacculi
of Beale.
Fig 13 - COMMON BILE DUCT(CHOLEDOCUS)
Can be divided in sopraduodenal,retroduodenal,pancreatic and intraduodenal segments.It is 1.5 -5.0 cm long, 1 mm thick and measures from 0.4 to 1.2 cm in diameter.The mucosa shows fine pits (sacculi of Beale).It enetrs the duodenal lumen with the pancreatic duct,jointly in 2/3 of the cases and separately in 1/3 of the cases.At the duodenal lumen these tow ducts form a nipple like protuberance called "papilla of Vater".The common bile duct inits intrapancreatic and intraduodenal segments contains a layer of circular and longitudinal smooth musculature which forms a bile flow regulating sphincter,the "sphincter of Oddi".The secondary pancreatic duct of Santorini may enter the duodenum 2 cm above the papilla of vater and there it forms the minor papila.The sacculi of Beale are again mucinous glands in the wall of the choledocus not to be iterpreted s adenacarcinoma.
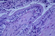
Gallbladder Mucosa
Fig 14 - GALLBLADDER
The gallbladder concentrates,stores and evacuates bile.It has a mucosa in large folds separated by crypts which may extend to the deepest muscular layers, Rokitansky-Aschoff crypts. Aberrant bile ducts may be present on its bed toward the liver(ducts of Luschka). The epethelium is tall-columnar with ovoid nuclei. Toward the base of the epithelium there are occasional small epithelial cells with small dark nuclei which should not be exchanged for lymphocytes.




CONTENTS | HEPATIC DIVERTICULUM