LIVER MURALIUM


THE HEPATOCYTE: Cytoplasmic organelles

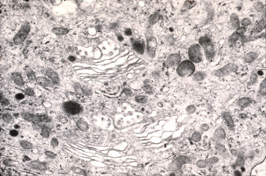
Cytoplasmic organelles Electron micrograph of a hepatocyte showing the cytoplasm with the various cytoplasmic organelles above described.

RER (rough) endoplasmic reticulum).Abundant and preponderant in zone 1 and 2 where the highest synthetic activity occurs,being the most oxygenated and nourished zones of the lobule.

SER (smooth) endoplasmic reticulum).Preponderant in zone 3,the area containing enzymes which attack drug (e.g. acetoaminophen) producing toxic radicals thus inducing centrolobular damage.

RIBOSOMES: Present in abundance as membrane bound,free and polyribosomes.

  
Golgi Complexes
Fig 22 - GOLGI COMPLEX:Curved stacks of parallel sachs with dilated bulbous ends which detach as vesicles loaded with lipo and glycoproteins to be discharged at the sinusoidal surface.The cis convex surface is the forming site while the trans concave surface is the secretory site.They are numerous and located toward the bile canaliculus.
Lysosomes
Fig 23 - LYSOSOMES: Located near the bile canaliculus.They sequester toxic metals(iron,copper) and degrade old organelles.

NUCLEUS: Hepatocytes are mononuclear at birth,10% binuclear at 8 years,15% at 15 years and 25% in the adult.In active regeneration they become multinucleated and have mitoses which are seen only in 2/1000 cells in normal conditions.

MITOCHONDRIA: Numerous in hepatocytes.They supply energy.The sit of fat and carbohydrate metabolisim. They contain calcium granules and DNA(from the mother).They undergo division.

MICROBODIES: (Perixosomes) Single mebrane-bound particles,not vesicles with a granular matrix containing urate oxidase and delta-aminoacid oxidase. There is no urate oxidase in man because he is uricothelic.

CYTOSKELETON: A system of cytoplasmic microfilaments which support the size an shape of all eukaryotic cells.There three types in the hepatocyte:

  • ACTIN: contractile filaments, attached to plasma membrane and to intercellular junctions around the bile canaliculus.Involved in bile secretion.
  • INTERMEDIATE: Keratin desmin,vimentin,neurofilaments,glial acidic fibrillary protein(GAFP). Cytokeratin 8 and 18 is in hepatocytes,7 and 19 in bile duct epithelium.These filaments are attached to desmosomes.
  • MICRUTUBULES: large tubules,25nm.They direct vesicles movement.
All microfilaments can be demonstrated by immunostains.




CONTENTS